Naše služby
V ordinacích dentální hygieny DENTO Praha 4, Praha 2 a Milevsko se komplexně staráme o zdraví vašich zubů i dásní.
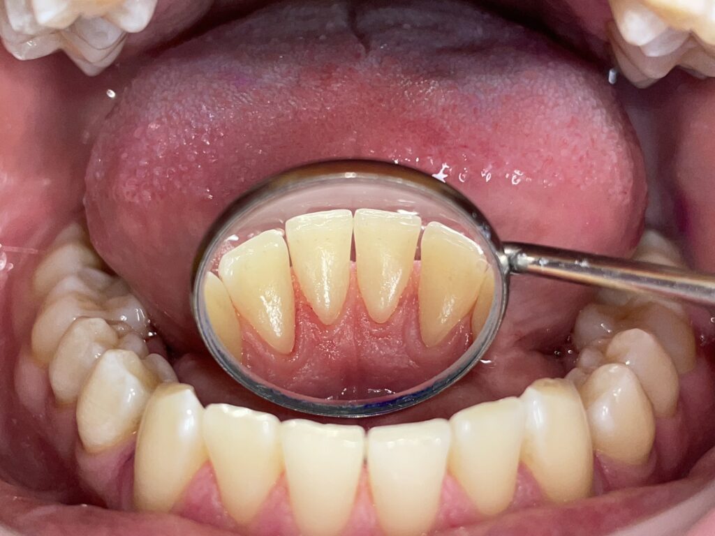
Naším cílem je poskytovat špičkovou dentální hygienu a bělení zubů v moderním a příjemném prostředí, a to vždy s maximálním ohledem na pohodlí a individuální potřeby každého pacienta. Pracujeme podle švýcarského protokolu GBT, který zajišťuje bezbolestné, šetrné a nadstandardní ošetření.
Profesionalita, lidský přístup a péče, na kterou se můžete spolehnout – to jedině od dentálních hygienistek týmu DENTO.
GARANTOVANÉ BĚLENÍ
PARODONTÁLNÍ PREVENCE
ZDRAVÉ DÁSNĚ
INDIVIDUÁLNÍ LÉČEBNÝ PLÁN
Dentální hygiena DENTO

Expertní dentální hygiena
V ordinaci DENTO věříme, že prevence a pečlivá domácí ústní hygiena jsou základem pro zdravý a zářivý úsměv. Zakládáme si na profesionálním přístupu a dlouhodobém přínosu pro klienta. Nabídku služeb se snažíme neustále zlepšovat a rozšiřovat, a proto je nedílnou součástí naší práce pravidelná účast na odborných školeních, seminářích a dalších vzdělávacích akcích.
Naše služby
Nabízíme dentální hygienu pro děti i dospělé, hloubkové čištění, odstranění masivních nánosů pigmentací pomocí technologie Air-Flow, ošetření přecitlivělých zubů, domácí i kombinované bělení zubů, prodej pomůcek a doplňků ústní hygieny.
Ceník zákroků
Základní ceník ordinace dentální hygieny DENTO platný od 1. února 2026. Kompletní ceník služeb a smluvní dokumentace je k dispozici u dentální hygienistky na vyžádání. Termín rezervujete jednoduše ONLINE.
Výsledek spolupráce


Na kdy vás můžeme objednat? Termín návštěvy si rezervujte na 770 161 444 nebo na info@dhdento.cz. Zprávy nám také můžete posílat na Facebooku DENTO.